HSG (Histerosalpingografija)

Dijagnostički pregled za procjenu neplodnosti

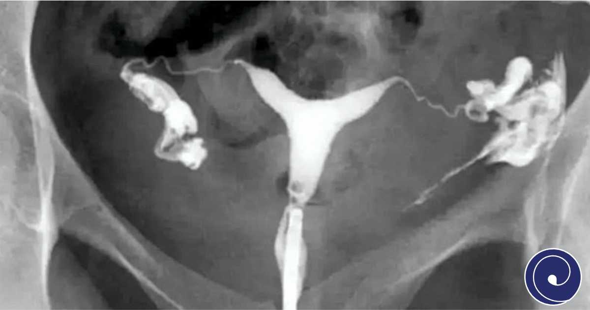
HSG ili histerosalpingografija je radiološki pregled kojim se ispituje prohodnost jajovoda i stanje šupljine maternice. Ovo je jedna od najvažnijih dijagnostičkih metoda u otkrivanju uzroka ženske neplodnosti i bitan korak u planiranju liječenja u Dr Admir Rama IVF Centru.

 

Šta je HSG?

Histerosalpinografija je specifičan rendgenski pregled koji koristi kontrastno sredstvo da prikaže šupljinu maternice i jajovoda. Na taj način ljekar može vidjeti da li su jajovodi prohodni i da li postoji neka prepreka koja može uzrokovati neplodnost.

Zašto se radi HSG?

  • Da se utvrdi prohodnost jajovoda

  • Da se procijeni oblik i veličina šupljine maternice

  • Kao dio dijagnostike uzroka neplodnosti kod žene

  • Prije postupaka vantjelesne oplodnje (IVF)

Kako se pripremiti za HSG?

  • Pregled se obično radi u prvom dijelu menstrualnog ciklusa, nakon završetka menstruacije, a prije ovulacije

  • Ne preporučuje se spolni odnos i korištenje tampona u danima prije pregleda

  • Liječnik može preporučiti lijekove protiv bolova prije pregleda

  • Važno je obavijestiti ljekara o eventualnim alergijama, posebno na kontrastna sredstva

Kako izgleda procedura?

  • Pacijentica leži na stolu za rendgen

  • Kroz cerviks se uvodi tanki kateter i ubrizgava kontrastno sredstvo

  • Radi se rendgenski snimak koji pokazuje protok kontrasta kroz maternicu i jajovode

  • Procedura traje oko 5 do 10 minuta i može izazvati blagi bol ili neugodu

Mogući rizici i nuspojave

  • Blagi grčevi ili bol u donjem dijelu stomaka

  • Rijetko se može javiti infekcija ili alergijska reakcija na kontrast

  • Nakon pregleda moguće je blago krvarenje

Najčešća pitanja o HSG

Šta je HSG i zašto se radi?

HSG (histerosalpingografija) je rendgenski pregled maternice i jajovoda uz primjenu kontrastnog sredstva. Radi se kako bi se provjerila prohodnost jajovoda i oblik maternice, što je važno kod procjene uzroka neplodnosti.

Kada se radi HSG?

HSG se obično radi u prvoj polovini menstrualnog ciklusa, neposredno nakon završetka menstruacije i prije ovulacije, kako bi se smanjio rizik od infekcije i izbjegla trudnoća.

Da li HSG pregled bolan?

HSG pregled može izazvati blagu do umjerenu nelagodu ili grčeve slične menstrualnim bolovima, ali je većina žena podnosi bez većih problema.

Koje su moguće nuspojave?

Moguće nuspojave HSG pregleda uključuju blagu bol ili grčeve tokom i nakon pregleda, blago krvarenje ili iscjedak, te u izuzetno rijetkim slučajevima privremenu infekciju.

Kako se pripremiti za HSG?

Izbjegavati spolni odnos prije pregleda i obavijestiti ljekara o alergijama.

Sign In